• ホーム
  • 付録
  • 皮革用語辞典について
  • スマホアプリ紹介

キーワードから検索する

50音順から検索する

あ い う え お
か き く け こ
さ し す せ そ
た ち つ て と
な に ぬ ね の
は ひ ふ へ ほ
ま み む め も
や ゆ よ    
ら り る れ ろ
わ を ん    

アルファベットから検索する

A B C D E
F G H I J
K L M N O
P Q R S T
U V W X Y
Z        
皮革用語辞典アプリのダウンロードはこちらから!
ページを印刷する

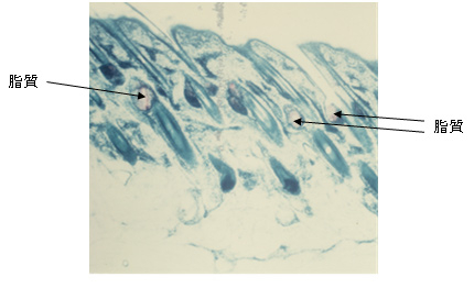
脂質

読み方
ししつ
英語
Lipid
意味
 エステル結合や酸アミド結合で脂肪酸と結合した物質。中性脂肪ろうなどの単純脂質、リン脂質や糖脂質などの複合脂質及び脂肪酸、アルコール、炭化水素や脂溶性ビタミンなどの誘導脂質に大別される。
 原料皮中には乳頭層や結合組織中に多く含まれているが、網状層中にも多量の脂肪を含んでいるものもある。特に、豚皮中には多くの脂質を含んでいる。
≪原皮中の脂質(赤い部分)≫
≪原皮中の脂質(赤い部分)≫
トップへもどる